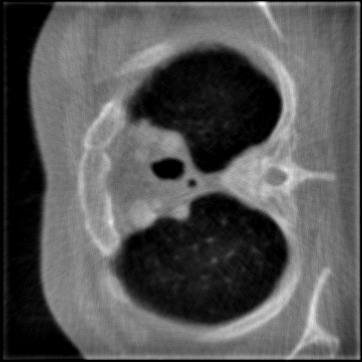
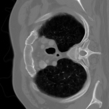
本项目用于医学CT图像重建与去噪优化,针对低剂量CT图像噪声大、结构模糊的问题,设计基于Unrolled ADMM思想的深度重建网络,并结合C++/CUDA算子实现加速计算。适用于医学影像辅助分析、工业断层检测及图像重建优化场景。
点击空白处退出提示
本项目用于医学CT图像重建与去噪优化,针对低剂量CT图像噪声大、结构模糊的问题,设计基于Unrolled ADMM思想的深度重建网络,并结合C++/CUDA算子实现加速计算。适用于医学影像辅助分析、工业断层检测及图像重建优化场景。
项目包含完整的训练与评估流程,核心模块包括:
1.基于Unrolled ADMM思想构建的可展开重建网络
2.自定义C++/CUDA算子实现投影与反投影加速
3.PyTorch模型训练框架与多实验配置管理
4.支持多阶段参数学习与可学习正则化模块
5.自动化评估脚本输出PSNR、SSIM等指标
6.系统采用模块化工程结构,支持快速扩展不同重建算法与网络结构,具备一定科研与工程落地能力。
本人负责整体算法设计与工程实现,包括:
C++/CUDA算子开发与PyTorch接口封装
Unrolled ADMM网络结构设计
训练脚本与评估流程开发
GPU加速与性能优化
实验对比与指标分析
技术架构采用Python + PyTorch作为主框架,底层关键计算模块通过C++/CUDA实现自定义扩展,保证计算效率。整体工程采用模块化设计,支持参数化实验与可扩展结构。




评论